5-Year Impact Factor: 0.9
Volume 35, 12 Issues, 2025
  Original Article     December 2024  

Impact of Chronic Noise Stress on Thyroid Health: A Comparative Histomorphological and Endocrine Study in Adult Male and Female Rats

By Saba Saleem Safdar1, Khadija Qamar2, Aqsa Zahid3, Muhammad Fahad Atta4, Muhammad Rizwan Bashir Kiani2, Muhammad Sabir1

Affiliations

  1. Department of Anatomy, Sialkot Medical College, Sialkot, Pakistan
  2. Department of Anatomy, Army Medical College, National University of Medical Sciences, Rawalpindi, Pakistan
  3. Department of Anatomy, Rawal Institute of Health Sciences, Islamabad, Pakistan
  4. Department of Anatomy, Quaid-e-Azam Medical College, Bahawalpur, Pakistan
doi: 10.29271/jcpsp.2024.12.1406

ABSTRACT
Objective: To compare the effect of varying durations of noise exposure on the histomorphological and endocrine profile of the thyroid gland in male and female adult rats.
Study Design: An experimental study.
Place and Duration of the Study: Department of Anatomy, Army Medical College, Rawalpindi / NUMS, from January to December 2020.
Methodology: Thirty Sprague-Dawley rats (15 males and 15 females) were divided into three groups each having 10 rats with equal male- to-female ratio. Group A was the control group. Group B and Group C were exposed to 100 dB noise for 4 hours daily and 100 dB noise for 6 hours daily for 4 months, respectively. Thyroid histomorphological parameters such as follicular epithelial cells’ height, follicular diameter, and thyroid stimulating hormone (TSH) levels were evaluated at the end of the study.
Results: Both male and female rats exposed to noise stress exhibited reduced follicular diameter (p <0.001) and increased epithelial cells’ height (p <0.001) as compared to the control group. The experimental groups showed significantly higher TSH levels compared to the control group (p <0.001) among female rats, while no significant difference was observed among male rats (p 0.47). No significant differences in histological and serum parameters were noted between the experimental groups (Group B and C).
Conclusion: Chronic noise exposure induces hyperactivity of thyroid follicles in both male and female adult rats as evidenced by the thyroid histology, whereas only female rats showed raised TSH levels, suggesting a potential disruption in the hypothalamic-pituitary-thyroid axis.

Key Words: Thyroid gland, Chronic noise stress, Follicular epithelial cells, Thyroid stimulating hormone, Thyroid follicles.

INTRODUCTION

Stress, as conceptualised by Selye, refers to a syndrome induced by various harmful agents.1 Over the time, public awareness, media coverage, and technological advancements have facilitated extensive research into the causes and adverse effects of stress at epidemiological, psychological, and biological levels.2 It is now widely accepted that noise pollution is a persistent environmental stressor that has a long-lasting negative impact on health, environment, and the economy.3 Among chronic environmental stressors, noise pollution has emerged as a significant concern, with far-reaching implications for health, society, the environment, and the economy.3

Noise pollution is characterised by unwanted, unpleasant, or unpredictable sounds that can originate from various sources, such as road traffic, railways, aircrafts, wind turbines, household appliances, and leisure activities such as nightclubs, pubs, fitness classes, live music events, and personal gadgets.4

Noise stress is one of the most common occupational risk factors, worldwide.5 Approximately 22 million US workers are currently exposed to occupational noise hazards.5 However, non-occupational health hazards are also widespread these days. According to an estimate, about 40 million adults suffer from impaired hearing, either in one or both ears due to loud noise exposure in the United States of America.6 However, the consequences of noise pollution on health extend beyond impaired hearing. Chronic exposure to noise stress can lead to psychological and physiological impairments, resulting in an allostatic load.5 Cardiovascular effects, depression, anxiety, metabolic disturbances such as diabetes and sleep disruptions are some of the adverse health outcomes influenced directly or indirectly by the noise exposure.7-9

The sympathetic-adrenal-medullary (SAM) system and the hypothalamic-pituitary-adrenal (HPA) axis are activated by stress in the human body.10 The thyroid gland is also closely regulated by the hypothalamic-pituitary axis, which is highly responsive to stress.10

Studies on rodents exposed to acute and chronic noise stress have shown varying impacts on thyroid hormone levels. In an experimental rodent model, acute noise stress increased serum T4 and T3 levels, while chronic exposure resulted in decreased T3 levels alongside elevated thyroid stimulating hormone (TSH).11 After examining a human cohort of 350 people, Veljovic et al. reported that workers with long-term occupational noise exposure were more likely to present with either hyperthyroidism or hypothyroidism as compared to the office workers without such noise exposure.12

This study aimed to analyse the impact of varying durations of noise exposure on the histomorphology of the thyroid gland and TSH levels in male and female adult rats.

METHODOLOGY

This experimental study was conducted after obtaining the ethical approval from the Institutional Review Board and Ethical Committee of Army Medical College, Rawalpindi (No: NUMS ERC/8), at the Anatomy Department of Anatomy, Army Medical College, Rawalpindi / NUMS, from January to December 2020. Healthy rats of either gender with an average weight of 250 ± 50 g were included while exclusion criteria were pregnant female rats and rats with any gross anomaly.

Thirty Sprague-Dawley rats (15 males and 15 females), were procured from the National Institute of Health (NIH), Islamabad. Administration and living conditions of rats were conducted in accordance with the National Research Council (NRC), 1996 declaration13 and institutional guidelines. The rats were given free access to food and water.

All rats (n = 30) were distributed into three groups (n = 10 / group) by non-probability consecutive sampling technique. An equal ratio of male and female rats was ensured in each group. Group A (control group) was given food and water ad libitum for sixteen weeks with no stressors. Group B (experimental group) was exposed to 100 dB noise for continuous 4 hours per day from 9:00 am to 1:00 pm for 16 weeks. Group C (experimental group) was exposed to 100 dB noise for continuous 6 hours per day from 9:00 am to 3:00 pm for 16 weeks.

Animals were subjected to a recorded pure-tone noise stress generator, that was purchased from the nearby market, powered via an uninterrupted DC adopter supply and a 9-volt standby battery. A sound level decibel meter (Radio Shack analogue model 33-4050) was used to record the intensity of the sound samples were taken at the start and end of the experiment.

At the end of the study, rats’ body weight was measured in grams with a digital balance, precise up to 0.1 g increments. Blood samples upto 2 mL were collected at 1/3rd of the tail's length from the tail tip, after restraining, to estimate TSH levels at both the start and end of the experiment.14 Blood samples were collected in sterile labelled plastic vials, allowed to clot at room temperature, and centrifuged at 5,000 revolutions per minute for 15 minutes to separate the sera. Sera were stored under standard laboratory conditions for serum TSH assay via enzyme immunoassay (EIA) test kit for TSH.

Rats were euthanised with an overdose of inhalant anaesthetic at the end of the experiment.15 Each rat was securely positioned on a dissection board, and a midline incision was made to access the thyroid gland. The thyroid gland was identified, carefully retracted, and surgically excised. Tissue specimens were fixed and processed using the LEICA TP 1020 automatic tissue processor from Germany, and paraffin blocks were made. Thin, 5 µm sections were precision-cut with LEICA RM 22.5 (Germany) rotary microtome. These slides were stained with haematoxylin and eosin (H&E) utilising the LEICA autostainer (Germany).

The final prepared tissue sections, stained with H&E, were meticulously examined and photographed using the Olympus® Microscope Bx43, equipped with the Olympus® Stylus 1010 Digital Camera of 10 megapixels resolution. For each slide, five random fields were selected and captured under a 40× objective lens, resulting in a magnification of 400×. All images underwent analysis via Civil AutoCAD version 2013, which had been calibrated with a linear stage micrometre.

To assess the quantitative parameters within the cyto-architecture of the thyroid gland, five thyroid follicles were randomly chosen from the prepared thyroid gland sections. The diameter of each thyroid follicle and the height of the follicular epithelium were measured.8 For follicular diameter, two measurements were taken perpendicular to each other, and the mean was calculated, which was then averaged across the five follicular measurements. The height of the epithelium was determined by measuring the distance from the basement membrane to the lumen, at four distinct locations within each tubule, equidistant from one another. The mean of these four measurements was calculated and then averaged across the measurements taken from the five follicles.

Statistical Package for the Social Sciences (SPSS) version 26.0 was used for the data analysis. Mean ± standard deviation (SD) was used to express quantitative variables. Two-way analysis of covariance (ANCOVA) was used to determine differences among groups, after looking for the assumptions, using gender and group as independent variables. To determine pairwise differences among groups, significant data for the overall F-Test of ANCOVA was followed by the Post-Hoc Tukey test.16 The p-value ≤0.05 was considered significant.

RESULTS

At the end of the study, rats had an average weight of 375.63 ± 74.87 g. Significant interactions were observed between the group and gender variables for thyroid follicular diameter (p = 0.02), while insignificant interactions for follicular epithelial cells’ height (p = 0.24) and TSH levels (p = 0.77) were revealed by two-way ANOVA.

Table I: Gender-wise intergroup comparison of thyroid histological and serum parameters of rats.

Thyroid Follicular Diameter

Pairwise groups

Males

Females

x

Y

Mean difference

(x-y)

p-value

Mean difference

(x-y)

p-value

A

B

42.55

<0.001*

19.53

0.006*

A

C

34.42

0.001*

13.68

0.05*

B

C

-8.14

0.87

-5.84

0.80

Follicular Epithelial Cell Height

x

y

Mean difference

(x-y)

p-value

Mean difference

(x-y)

p-value

A

B

-3.15

<0.001*

-3.26

<0.001*

A

C

-3.4

<0.001*

-4.11

<0.001*

B

C

-0.25

0.87

-0.85

0.19

Thyroid Stimulating Hormone

x

y

Mean difference

(x-y)

p-value

Mean difference

(x-y)

p-value

A

B

-0.62

0.47

-0.92

<0.001*

A

C

-1.09

0.07

-1.32

<0.001*

B

C

-0.48

0.95

-0.41

0.09

Group A = Control Group, Group B = Experimental group, Group C = Experimental group, *p-value = Significant at p ≤0.05, mean differences are adjusted for body weight.  Two-way analysis of covariance (ANCOVA) was used to determine significant differences among groups. Pairwise differences among groups, and significant data for the overall F-Test of ANCOVA was followed by the Post-Hoc Tukey test.

Figure 1: Groupwise comparison of thyroid histological and serum parameters among rats belonging to Group A = Control Group and Groups B and C = experimental groups.
Error bars at ±1 SD. p-value was significant at <0.05.

When adjusted for final body weight, thyroid follicular diameter (p <0.001), follicular epithelial cells’ height (p <0.001), and TSH levels (p <0.001) showed significant differences between the groups. Figure 1 shows the main pairwise comparisons of thyroid histological and serum parameters among groups, after adjusting for body weight.


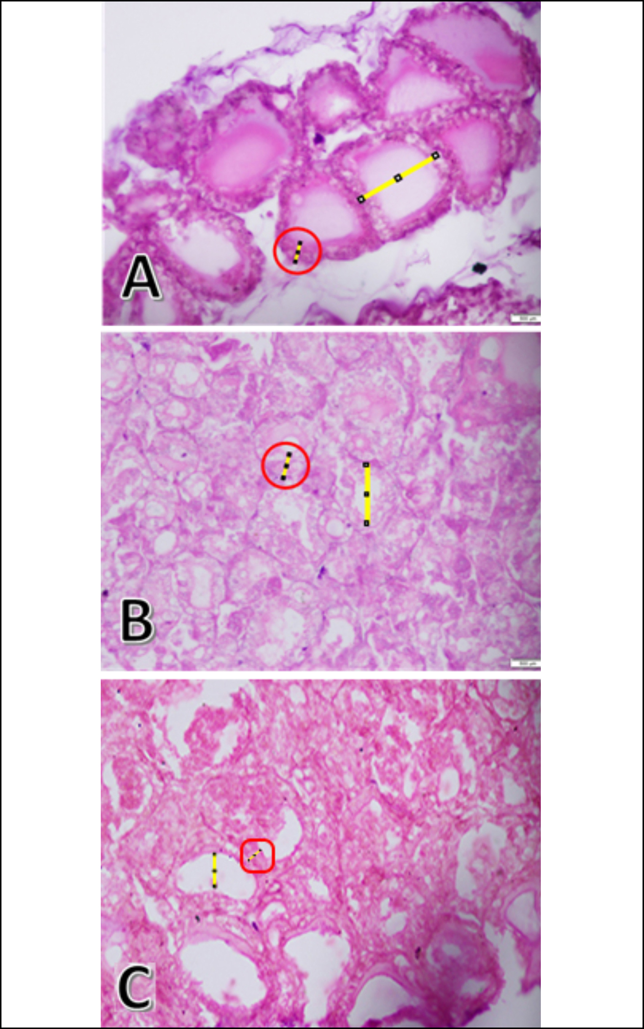
Figure 2: Photomicrographs A, B, and C are representative of the control Group A, and experimental Groups B and C, respectively, showing follicular epithelial cells’ height and diameter.
Note increased follicular epithelial cells’ height and reduced follicular diameter in experimental groups (H&E, ×400).


Experimental groups B (9.86 µm) and C (10.37µm) had significantly higher follicular epithelial cells’ height (p <0.001), compared to the control group A (6.63 µm). Also, experimental groups B (1.32 µIU/ml) and C (1.85 µIU/ml) had significantly higher TSH levels (<0.01), as compared to the control group A. On the other hand, in comparison with control group A (118.51 µm), the thyroid follicular diameter of rats in experimental groups B (86.61 um) and C (95.47 um) was significantly lower (<0.001).

Figure 2 shows the increased follicular epithelial cells’ height and reduced thyroid follicular diameter in the experimental groups as compared to the control group.

Table I shows the pairwise comparison of thyroid histological and serum parameters among groups, separately for male and female rats. Univariate analysis revealed that male rats in the control group A had a significantly higher follicular epithelial cells height, and a lower thyroid follicular diameter as compared to the experimental groups B and C (p <0.001) when adjusted for body weight. Whereas the TSH levels of the control group male rats were not significantly different from the experimental groups B (p = 0.47) and C (p = 0.07).

Among the female rats, univariate analysis revealed that experimental groups B and C had significantly higher follicular epithelial cells height (p = 0.006 and p = 0.05, respectively), raised thyroid stimulating hormone (p <0.001), and a lower thyroid follicular diameter (p <0.001) as compared to the control group (Group A).

However, no significant differences were found between thyroid histological and serum parameters of male or female rats, among experimental groups B and C.

DISCUSSION

The purpose of this research was to compare the histomorphological parameters of the thyroid glands in adult male and female rats exposed to different durations of noise and to review the effects on the hypothalamic-pituitary-thyroid (HPT) axis. The results of the experimental group in the current study are consistent with histological findings of a hyperactive thyroid gland, characterised by columnar epithelial cells with scanty colloid.17 Elevated TSH levels were observed in female rats in the experimental groups, while no significant TSH differences were noted among male rats in both control and experimental groups.

These findings align with previous research indicating that acute psychogenic stress in rodents can lead to increased serum T4 and T3 levels.18 Ababzadeh et al. demonstrated increased T3 levels and decreased TSH levels following short-term noise exposure, and the opposite pattern i.e. decreased T3, elevated TSH, and enlarged follicular diameter were observed with long-term noise exposure in a rodent model.19 These findings contrast with the present study, where chronic noise exposure resulted in a smaller diameter of thyroid follicles. This variation in results may be attributed to the differences in the loudness and frequency of exposed noise.

Considering the impact of the loudness of sound in addition to the duration of exposure, Abtahi-Eivary et al. experimented on 70 Wistar rats and reported that exposure to noise between 60-85 dB significantly reduced T4, T3, and TSH levels compared to the control group. However, this difference diminished when exposed to 110 dB noise. Notably, this study did not measure serum T3 and T4 levels, limiting the assessment of the thyroid gland's functional markers.20

A review article in 2015 suggested that a thyroid glands’ response to noise stress is primarily explained by the dysregulation of the HPT axis, particularly changes in TSH production.21 Nadolnik explained this pathophysiological mechanism as glucocorticoid-induced changes in the HPA axis under chronic stress-affect TSH production and sensitivity, thyroid hormone regulation, production, secretion, and metabolism.18

There is no available data on thyroid gland histological variations in response to noise stress alone, among humans. In 2010, a human comparative study assessed thyroid functional dysregulation in individuals exposed to long-term occupational noise stress and a control group with no such exposure. Results showed that thyroid functional dysregulation was present in 11.65% of people who were exposed to occupational noise stress, compared to only 2.85% in the control group.12 In another study among thermal plant workers exposed to occupational noise, a significant reduction in T4 levels was observed with increased noise levels.22 However, these results cannot be generalized due to variations in factors such as gender, age, ethnicity, body weight, reproductive profile, and comorbidities among the different studies.

This study has a limiting factor of the inability to consider the variations in oestrous cycle phases in female rats, which can affect thyroid activity. The current study found different implications of TSH levels among male and female rats upon noise exposure. However, the underlying pathophysiological basis could not be elucidated owing to the lack of thyroid hormones (T3 and T4) assays.

Still, this study is unique in highlighting gender-specific implications of noise exposure on thyroid health while considering varying durations of noise exposure. Future research should involve additional experimental studies using rodent models exposed to varying durations and intensities of noise to better understand the safety implications on the thyroid gland.

CONCLUSION

Chronic noise exposure induces hyperactivity of thyroid follicles in male and female adult rats as indicated by increased follicular epithelial cells’ height and decreased follicular diameter. Only female rats showed raised TSH levels when exposed to chronic noise stress, suggesting a potential disruption in the HPT axis. Further research is warranted to explore the underlying mechanisms and implications for human health while considering the potential confounders.

ETHICAL APPROVAL:
Ethical approval of this study was obtained from the Institutional Review Board and Ethical Committee of Army Medical College, Rawalpindi (NUMS ERC8).

COMPETING INTEREST:
The authors declared no conflict of interest.

AUTHORS’ CONTRIBUTION:
SSS, MS: Substantial contribution to the concept, and drafting of the manuscript.
KQ: Substantial contribution to the design of the study and drafting of the manuscript.
AZ: Interpretation of the data and drafting of the manuscript.
MFA: Substantial contribution to the interpretation of the data and drafting of the manuscript.
MRBK: Drafting and revising of the manuscript.
All authors approved the final version of the manuscript to be published.
 

REFERENCES

  1. Selye H. A syndrome produced by diverse nocuous agents. Nature 1936; 138(3479):32. doi: 10.1038/138032a0.
  2. Ho CS, Chee CY, Ho RC. Mental health strategies to combat the psychological impact of COVID-19 beyond paranoia and panic. Ann Acad Med Singapore 2020; 49(1):1-3.
  3. Thoma MV, Rohleder N, Rohner SL. Clinical ecopsychology: The mental health impacts and underlying pathways of the climate and environmental crisis. Front Psychiatry 2021; 12:675936. doi: 10.3389/fpsyt.2021.675936.
  4. Liu F, Jiang S, Kang J, Wu Y, Yang D, Meng Q, et al. On the definition of noise. Humanit Soc Sci 2022; 9(1):406. doi: 10. 1057/s41599-022-01431-x.
  5. Themann CL, Masterson EA. Occupational noise exposure: A review of its effects, epidemiology, and impact with recommendations for reducing its burden. J Acoust Soc Am 2019; 146(5):3879. doi: 10.1121/1.5134465.
  6. Murphy WJ, Eichwald J, Meinke DK, Chadha S, Iskander J. CDC grand rounds: Promoting hearing health across the lifespan. MMWR Morb Mortal Wkly Rep 2018; 67(8):243-6. doi: 10. 15585/mmwr.mm6708a2.
  7. Singh D, Kumari N, Sharma P. A review of adverse effects of road traffic noise on human health. Fluct Noise Lett 2018; 17(01):1830001. doi: 10.1142/S021947751830001X.
  8. Sakhvidi MJZ, Sakhvidi FZ, Mehrparvar AH, Foraster M, Dadvand P. Association between noise exposure and diabetes: A systematic review and meta-analysis. Environ Res 2018; 166:647-57. doi: 10.1016/j.envres.2018.05.011.
  9. Organization WH. Environmental noise guidelines for the European region. World Health Organization Regional Office for Europe; 2018.
  10. Hall JE, Hall ME. Guyton and Hall textbook of medical physiology. ed 14th, Philadelphia: Elsevier Health Sciences; 2020.
  11. Ababzadeh S, Razavinia F-S, Farsani ME, Sharifimoghadam S, Moslehi A, Faghani D. Effect of short-term and long-term traffic noise exposure on the thyroid gland in adult rats: A sexual dimorphic study. Horm Mol Biol Clin Investig 2020; 42(1):29-35. doi: 10.1515/hmbci-2020-0029.
  12. Veljovic V, Jovanovic J, Radevic L, Radovanovic Z, Gligorijevic S, Blagojevic L. Early detection of thyroid disease in workers professionally exposed to noise through preventive medical check-ups. Acta Med Median 2010; 49(3):45-8.
  13. Council NR. Guide for the care and use of laboratory animals. 2010.
  14. Lee G, Goosens KA. Sampling blood from the lateral tail vein of the rat. J Vis Exp 2015; 18(99):e52766. doi: 10.3791/ 52766.
  15. Shomer NH, Allen-Worthington KH, Hickman DL, Jonnalagadda M, Newsome JT, Slate AR, et al. Review of rodent euthanasia methods. J Am Assoc Lab Anim Sci 2020; 59(3):242-53. doi: 10.30802/AALAS-JAALAS-19-000084.
  16. Ntumi S. Reporting and interpreting one-way analysis of variance (ANOVA) using a data-driven example: A practical guide for social science researchers. J Res Educ Sci 2021; 12(14):38-47. doi: 10.14505/jres.v12.14.04.
  17. Barrett KE, Boitano S, Barman SM, Brooks HL. Ganong’s review of medical physiology ed 26. New York: MC Graw Hill; 2019. p. 337-50.
  18. Nadolnik L. Stress and the thyroid gland. Biochem (Mosc) Suppl Ser B: Biomed Chem 2011; 5(2):103-12. doi: 10.1134/ S1990750811020119.
  19. Ababzadeh S, Razavinia FS, Eslami Farsani M, Sharifimoghadam S, Moslehi A, Faghani D. Effect of short-term and long-term traffic noise exposure on the thyroid gland in adult rats: A sexual dimorphic study. Horm Mol Biol Clin Investig 2020; 42(1):29-35. doi: 10.1515/hmbci-2020-0029.
  20. Abtahi-Eivary S-H, Tajpoor A, Firoozi A, Mehrzad S, Beheshti MH. Evaluating the effects of noise pollution on the levels of nlood cortisol, testosterone, and thyroid in male wistar rats. Health Scope 2021; 10(3). doi: 10.5812/jhealthscope.94704.
  21. Kurien MJ, Rajagopalan A, Sailesh KS, Varghese V, Amin A, Reddy UK, et al. Stress, thyroid hormone secretion and vestibular stimulation: A review of the links. BEMS Reports 2015; 1(2):31-4. doi: 10.5530/BEMS.1.2.1.
  22. Khosravipour M, Kakavandi MG, Nadri F, Gharagozlou F. The long-term effects of exposure to noise on the levels of thyroid hormones: A four-year repeated measures study. Sci Total Environment 2021; 792:148315. doi: 10.1016/j.scitotenv.2021.148315.