5-Year Impact Factor: 0.9
Volume 36, 12 Issues, 2026
  Letter to the Editor     October 2025  

Five Cases of Hip Fracture in Elderly Patients Complicated by New Silent Cerebral Infarction: Clinical Alert and Analysis

By Jing Wang, Xianfa Zhang

Affiliations

  1. Department of Orthopaedics, Wenshang County People’s Hospital, Wenshang, Ji’ning, Shandong, China
doi: 10.29271/jcpsp.2025.10.1357


Sir,

In elderly patients with hip fractures, the overall incidence of cerebral infarction (CI) was found to be 6.72%, with a notable proportion being asymptomatic.1 The average age of patients diagnosed with CI was 79.7 years, and the majority (81.7%) displayed mild symptoms (NIHSS <4). Posterior circulation partial infarction (PACI) accounted for the largest category (70%), with lesions being predominantly single (76.7%) and more frequently located on the left side (65%).2 Currently, clear guidelines for determining the optimal timing of surgery are lacking, necessitating a thorough assessment of the associated risks and benefits.3 Patients with CI generally experienced suboptimal postoperative recovery and limited functional restoration, which may elevate the risk of complications such as delirium and myocardial infarction.4

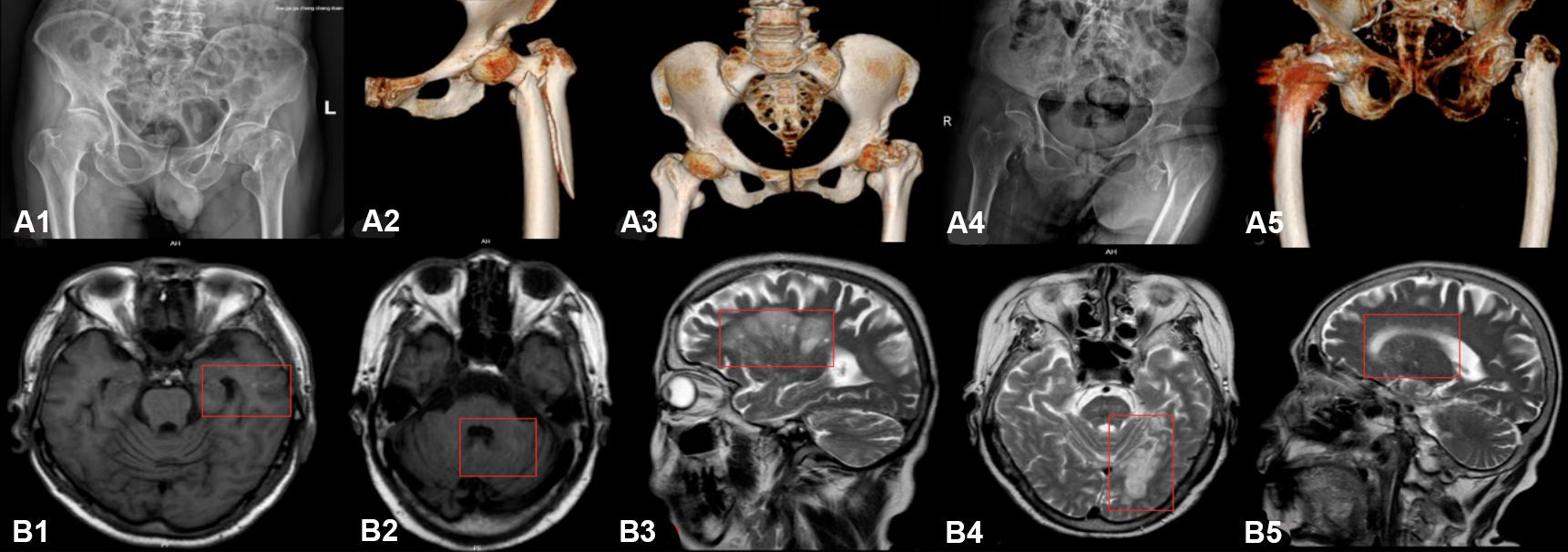
Herein, the authors describe an important yet under-recognised clinical phenomenon. Since 2024, five elderly patients with hip fractures (Figure A1-A5) were admitted for examination and incidentally diagnosed with new-onset acute/subacute silent CIs. Three patients had a history of CI (one of whom also exhibited delirium symptoms), one patient had no history of CI but presented with delirium, and one patient had a history of head trauma accompanied by headache. To comprehensively evaluate the surgical risks, the authors conducted cranial MR examinations for all five patients. Since none of the five patients exhibited clinical signs of acute CI within 27 hours post-injury, yet magnetic resonance imaging (MRI) revealed acute or subacute CI, these cases were classified as silent cases. Key patient characteristics included ages ranging from 62 to 92 years (average 79 years); four females and one male, and three patients had a history of stroke (Table I). All fractures were attributed to low-energy traumas, such as falls during ambulation. Cases involving falls secondary to transient cerebral ischaemia, syncope, or other related conditions were excluded from the analysis. Brain MRI confirmed new-onset infarcts without acute neurological deficits (Figure B1-B5). The four new infarct foci were small vessel lesions (diameter <10 mm), located in the periventricular region (two cases), cerebellar region (two cases), and thalamic region (one case). None of the patients exhibited signs of hypotension. One patient underwent artificial femoral head replacement; another received closed reduction and intramedullary nail fixation for an intertrochanteric fracture, and the remaining three were managed non-surgically. One surgical and one non-surgical patient developed delirium, and another patient experienced recurrent symptomatic stroke within one week. These findings indicate that hip fractures may act as a stress event triggering cerebral ischaemia, revealing potential blind spots in the existing perioperative assessment system.5

In this cohort, all five patients were diagnosed with new CI based on MRI findings; three patients had a history of stroke, suggesting that such individuals should be considered part of a neurologically vulnerable population.

Although the cases examined in this study are relatively uncommon, asymptomatic, and appear to have minimal immediate impact, they may harbour latent risks or lead to significant complications in the future. Consequently, these cases possess considerable clinical significance and research value.

Factors such as immobility, pain-induced stress, and reduced blood volume following hip fractures may lead to cerebral hypoperfusion, which can be further exacerbated by surgical anaesthesia and associated haemodynamic fluctuations.

For hip fracture patients with a history of stroke, admission delirium, or haemodynamic instability, routine cranial MRI should be performed before surgery.

Table I: Baseline characteristics of the five included patients.
 

Case number

Gender

Age

History of cerebral infarction

Admission diagnosis

Admission date

Location of new cerebral infarction

Infarct area (diameter)

Surgical method

Complications

1

Male

75

Yes

Fracture of the left femoral neck

2025/3/15

Left ventricle

<10 mm

Hip hemiarthroplasty

Delirium

2

Female

86

No

Fracture of the left femoral trochanter

2025/1/4

Left cerebellar hemisphere

<10 mm

Closed reduction and PFNA internal Fixation for Intertrochanteric Femoral fracture

Delirium

3

Female

67

Yes

Fracture of the left femoral neck

2025/3/18

Left cerebellar peduncle

<10 mm

Hip hemiarthroplasty

NO

4

Female

92

Yes

Fracture of the left femoral trochanteric area

2024/2/15

Left thalamus, hippocampus, occipital lobe, right frontal lobe

>20 mm

NO

Recurrence of stroke

5

Female

75

No

Fracture around the right femoral prosthesis

2025/1/30

Right ventricle anterior horn, frontal lobe

<10 mm

NO

NO

Figure 1: Imaging characteristics of fractures (A1-A5) and cerebral infarctions (B1-B5) in five patients.

A multidisciplinary evaluation process involving orthopaedics, neurology, and anaesthesiology should be established to balance the urgency of surgery with the need for neuroprotection. Perioperative management of elderly hip fracture patients should integrate a brain protection perspective alongside the focus on bone repair. The authors call on the academic community to pay attention to this interdisciplinary area and collaborate to optimise diagnostic and treatment pathways for vulnerable populations.

In future clinical studies, it is necessary to incorporate a larger sample size of such cases to investigate further and substantiate the research findings in this area.

COMPETING  INTEREST:
The authors declared no conflict of interest.

AUTHORS’  CONTRIBUTION:
XZ, JW: Collected and analysed the data, interpreted the results, drafted, revised, and edited the manuscript.
Both authors approved the final version of the manuscript to be published.

REFERENCES

  1. Lamo-Espinosa JM, Mariscal G, Gomez-Alvarez J, San-Julian M. Incidence and risk factors for stroke after hip fracture: A meta-analysis. Sci Rep 2023; 13(1):17618. doi: 10.1038/ s41598-023-44917-7.
  2. Zhang Y, Fu M, Guo J, Zhao Y, Wang Z, Hou Z. Characteristics and perioperative complications of hip fracture in the elderly with acute ischemic stroke: A cross-sectional study. BMC Musculoskelet Disord 2022; 23(1):642. doi: 10.1186/ s12891-022-05585-2.
  3. Zhang ZL, Li XS, Zhao WQ, Huang JF, Zhu YH. Early surgical treatment of closed reduction and internal fixation for a 30-day old intertrochanteric fracture with hemiplegia after acute stroke: A case report. Medicine (Baltimore) 2023; 102(25):e34098. doi: 10.1097/MD.0000000000034098.
  4. Reppas-Rindlisbacher C, Boblitz A, Podolsky S, Fowler RA, Lapointe-Shaw L, Sheehan KA, et al. Language preference, surgical wait time, and outcomes among older adults with hip fracture. JAMA Netw Open 2024; 7(11):e2448010. doi: 10.1001/jamanetworkopen.2024.48010.
  5. Abdali K, Chen X, Ross S, Davis S, Zhou Z, Mallet RT, et al. Mechanisms maintaining cerebral perfusion during systemic hypotension are impaired in elderly adults. Exp Biol Med (Maywood) 2023; 248(23):2464-72. doi: 10.1177/153537 02231209416.